Endocrine disrupting chemicals (EDCs) disrupt the ways that hormones work in the bodies of vertebrates, including humans. They can be found in everything from female contraceptive drugs and hormone replacement therapy pills to cleaning soap - most well studied EDCs are those that mimic estrogen.
EDCs have been seeping into rivers through the sewage system for decades and have an observed effect on fish, altering male biology to make them more female, hence the 'gender bending' reputation of these chemicals. Until now, there has been no solid evidence to show the long-term impact of this effect on fish in the wild - but the new research focusing on wild roach in two UK rivers (Bourne and Arun) has provided new evidence.
Two large-scale breeding studies assessed the ability of fish to breed by using a genetic technique (DNA microsatellites) to match offspring produced to their parents. It was found that intersex fish – those that had their sexuality compromised by EDCs and which contain both male (sperm) and female (eggs) sex cells – had their reproductive performance reduced by up to 76%.

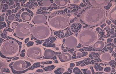
Intersex gonads which contain both male (sperm) and female (eggs) sex cells in a wild roach. Credit: University of Exeter
Charles Tyler, from the University of Exeter's Biosciences department, who jointly led the research with Professor John Sumpter from the Institute of Environment at Brunel University, said, "This is the first time we've seen firm evidence that the intersex fish, males that have been feminised by EDCs, have a reduced ability to breed.
"Clearly this raises concerns about the implications on the future for wild fish populations living in UK rivers, but there's also much wider issues raised by these findings. Some of the effects seen in fish could occur in other animals too as hormone systems are quite similar across all vertebrates.
"EDCs have been tentatively linked with human health impacts too, including, falling sperm counts and cardio-vascular disease. These findings remain more controversial. In contrast, we have shown, unequivocally that environmental oestrogens alter sexual development in fish and now, through this study, that this can impact on their ability to breed."
Fish are seen as a key indicator of the impacts of chemicals such as EDCs because they soak them up in far larger quantities than humans ever would, concentrating any potential side-effects.
Their biology also means they are particularly prone to the feminizing effects of EDCs because their sex is not decided until after birth – meaning they are more susceptible to outside influence.
Prof Tyler concluded: "Fish still share many biological links with humans and the fact that their reproduction has the potential to be affected by EDCs is certainly a cause for concern. From a risk assessment point of view, these results are very significant.
The study was funded by Defra and the Environment Agency.
Citation: Catherine A. Harris, Patrick B. Hamilton, Tamsin J. Runnalls, Veronica Vinciotti, Alan Henshaw, Dave Hodgson, Tobias S. Coe, Susan Jobling, Charles R. Tyler, John P. Sumpter, 'The Consequences of Feminisation in Breeding Groups of Wild Fish', Environ Health Perspect, doi:10.1289/ehp.1002555





Comments